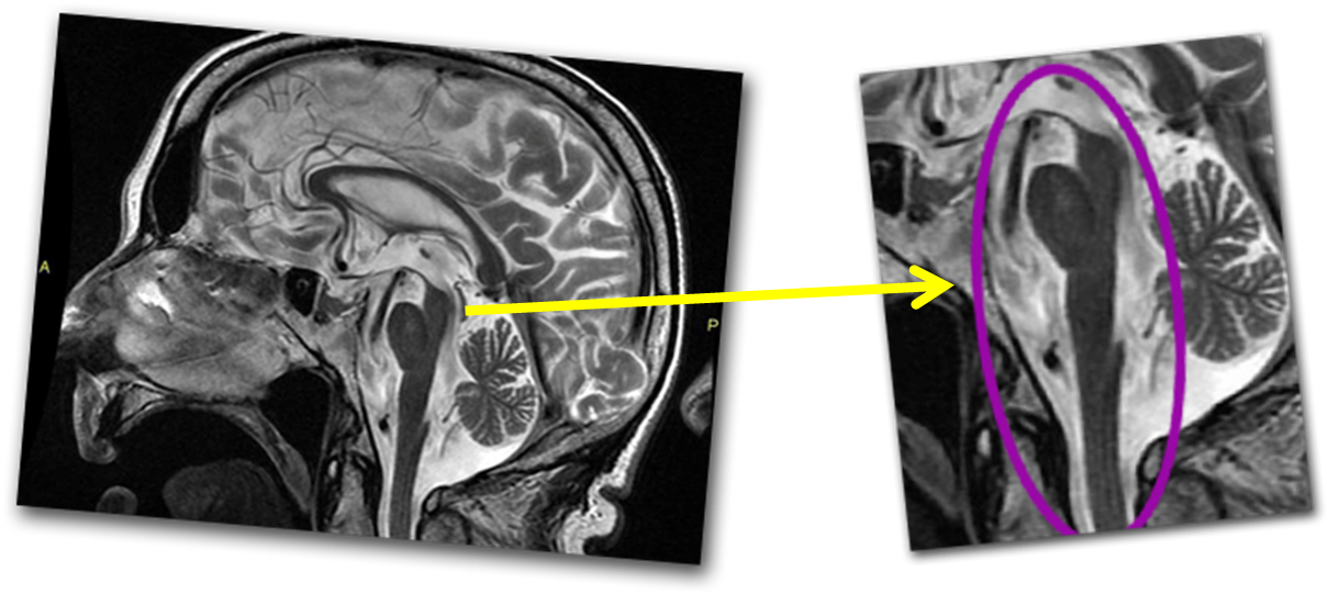
Progressive supranuclear palsy is characterized by decreased cognition, abnormal eye movements (supranuclear vertical gaze palsy), postural instability and falls, as well as Parkinsonian features and speech disturbances 1-3 . It can be divided into a variety of subtypes many of which overlap with other neurodegenerative diseases that share an.. Las complicaciones de la parálisis supranuclear progresiva se deben principalmente a la lentitud y a la dificultad para mover los músculos. Estas complicaciones podrían incluir: Caídas, que pueden provocar lesiones en la cabeza, fracturas y otras lesiones. Dificultad para enfocar los ojos, que también puede causar lesiones.

Pathology Glossary Progressive Supranuclear Palsy Draw It to Know It

Paralisia Supranuclear Progressiva (PSP) Sintomas, Diagnóstico e Tratamento

Telerradiologia Casos Clinicos Medilaudo Laudos online

Como Paralisia progressiva de Supranuclear é diagnosticada?

Paralisia progressiva de Supranuclear tem cura?

Progressive Supranuclear Palsy Causes, Symptoms, Stages, Treatment

Paralisia Supranuclear Progressiva Doenças Neurológicas

Unase ao mapa de Paralisia progressiva de Supranuclear

PARÁLISIS SUPRANUCLEAR PROGRESIVA Red Fono YouTube

Paralisia progressiva de Supranuclear é hereditária?

Paralisia supranuclear progressiva o que é? NA Neurologistas Associados

Paralisia Supranuclear Progressiva Paralisia do Olhar Vertical YouTube

Parálisis supranuclear progresiva FEMEXER

Você sabe o que é a Paralisia Supranuclear Progressiva? YouTube

Paralisia progressiva de Supranuclear e depressão

Paralisia Supranuclear Progressiva Enfermagem Ilustrada

Figure 1 from Exodeviated Ophthalmoplegia in a Patient with Progressive Supranuclear Palsy

PSP Brasil Paralisia supranuclear progressiva O beijaflor e a PSP

Paralisia facial periférica Neurocirurgião em São Paulo Especialista em Tumores Cerebrais

Paralisia Supranuclear Progressiva conheça esse Parkinsonismo Dra Adriana Moro YouTube
Key points. Progressive supranuclear palsy (PSP) is very different to Parkinson's disease with readily distinguishable features. PSP is a clinical diagnosis; imaging helps to differentiate mimics. Non-pharmacological management of PSP is as important as pharmacological treatment and should be implemented early.. Diagnóstico. La parálisis supranuclear progresiva puede ser difícil de diagnosticar porque los signos y síntomas son similares a los de la enfermedad de Parkinson. El médico puede sospechar que tienes parálisis supranuclear progresiva en lugar de la enfermedad de Parkinson si sucede lo siguiente: No tienes temblores.